전화 카카오톡 네이버 톡톡

상악동 거상술

상악동과 잇몸뼈 사이에 뼈가 남아있지 않았을 때 상악동 내부에
뼈를 이식한 후 뼈의 충분한 양을 확보하여 임플란트를 식립하는 방법입니다.

상악동

상악동 거상술(최소절개)

1

상악동 거상술(윈도우형)

2

상악동 거상술 치료과정

3
 

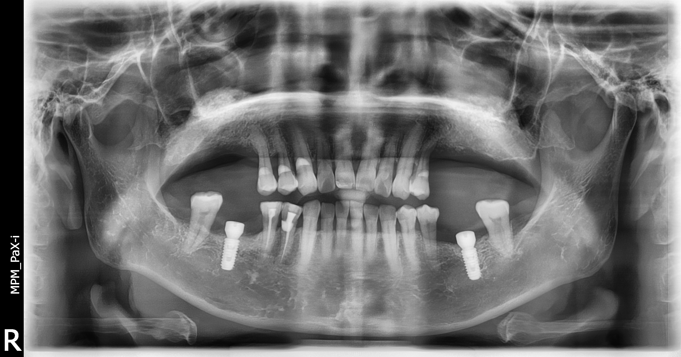
상악동 거상술 전후 사진

1
2
3
4

오시는길

인천광역시 연수구 하모니로 158,
송도 타임스페이스 A동(CGV) 4층

진료시간

  • 월 수 금 AM09:30 - PM06:30
  • 화      목 AM09:30 - PM08:00
  • 토 요 일 AM09:30 - PM01:30
  • 점      심 PM01:00 - PM02:00 * 토요일은 점심시간 없습니다

* 일요일,공휴일은 휴진입니다.

대표번호 (클릭시 전화 연결됩니다.)

032-831-7525

빠른상담

[보기]